| |
|
Der Ballenzeh
 |
Der so genannte Ballenzeh, im fränkischen
Raum auch "Frostballen", wird im medizinischen Sprachgebrauch
als "Hallux valgus" bezeichnet.
Hier handelt es sich um eine der häufigsten
Veränderungen im Bereich des Vorfußes beim Erwachsenen,
vor allem bei weiblichen Patienten. Eine familiäre Häufung
ist bekannt.
Oft vergesellschaftet mit einem Spreizfuß
kommt es zu einer Abweichung der Großzehe und Ausbildung
des kräftigen Großzehenballens auf der Innenseite
des Fußes. |
Ursache
Durch den Zug eines Muskels an der Außenseite
des Großzehengrundgelenks und einer relativen Verkürzung
der Beuge- und Strecksehnen der Großzehenglieder entsteht
ein "Flitzbogen"-Effekt, der die Fehlstellung kontinuierlich
verstärkt.
Eine allgemeine Bindegewebsschwäche
wird für diesen Vorgang verantwortlich gemacht. |
 |
Verlauf
 |
Bereits mit Beginn des aufrechten Gangs
im Kindesalter kann diese Veränderung eintreten, in der
Regel wird sie aber erst im höheren Erwachsenenalter
sichtbar.
Als Reaktion auf den erhöhten Druck an der Innenseite
des Mittelfußknochens entsteht ein häufig schmerzhafter,
entzündlich veränderter Schleimbeutel. Zusätzlich
baut der Körper hier Knochenmaterial an (Exostose). Die
Beschwerden werden dadurch noch verstärkt.
Die Fehlstellung verläuft häufig in Schüben
bis zu einem Endzustand. |
Diagnostik
Zunächst erfolgt eine ausführliche
Befragung über Lebensgewohnheiten, belastungsabhängige
Beschwerden sowie eine Beurteilung des getragenen Schuhwerks.
Eine Inspektion des Fußes erlaubt bereits erste Rückschlüsse
auf Fehl- und Überbelastungen, es schließt sich
eine standardisierte Fotodokumentation zur Kontrolle des Behandlungsverlaufes
an.
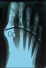
Durch eine einfache Röntgenaufnahme beider Füße
kann das genaue Ausmaß der Abweichung bestimmt werden.
Diese Aufnahme sollte immer im Stehen, also unter Belastung,
durchgeführt werden. |
 |
Behandlung
Anhand der in den Röntgenaufnahmen ermittelten
Winkelgrade, der Situation des Großzehengelenks und der Weichteilsituation
des Fußes wird dann gemeinsam mit dem Patienten ein individuelles
Behandlungskonzept erstellt, eine "Standardtherapie" existiert
nicht.
Behandlung ohne Operation (konservativ)
Durch eine angepasste Einlagenversorgung kann
zunächst die Spreizfußkomponente gemildert werden. Weiches
aber stabiles Schuhwerk, krankengymnastische Beübung sowie
eine angepasste Sportbelastung, ggf. auch Gewichtsreduktion, können
die Beschwerden zumindest vorübergehend weiter reduzieren.
Eine völlige Wiederherstellung der normalen Fußform und
dauerhafte Beschwerdefreiheit ist so jedoch häufig nicht zu
erzielen.
Eine Korrektur mit auf dem Markt angebotenen "Hallux-Schienen"
ist u.E. für eine längere Behandlung nicht sinnvoll, sie
führt häufig zu zusätzlichen Druckschäden.
Nur eine operative Versorgung verspricht dauerhaften Erfolg.
Operation
Da es sich um ein dynamisches Geschehen handelt,
sollte die Fehlstellung des Großzehenstrahls durch eine Korrektur
beseitigt werden. Nur so ist eine langfristige sichere Stabilisierung
des Fußgewölbes und des biomechanischen Abrollverhaltens
des gesamten Fußes möglich.
Abhängig von der Abweichung der Großzehe und der Ursache
der Fehlstellung kann unter einer breiten Palette von operativen
Verfahren gewählt werden. Allein für die Großzehenkorrektur
werden über 150 verschiedene Verfahren in der medizinischen
Literatur beschrieben. Das zeigt, dass ein "Standardverfahren"
nicht existiert.
Im Wesentlichen erfolgt eine "Umstellung" des Knochens
und zeitweise Stabilisierung bis zur knöchernen Ausheilung.
Der knöcherne Überstand an der Innenseite wird abgetragen.
Praktisch immer wird der Eingriff mit einem Weichteileingriff kombiniert,
der zu einer Verringerung des falschen Muskelzugs und einer Lösung
der eingeengten Gelenkkapsel sowie der sog. Sesambeinchen führt.
Die von uns durchgeführten Verfahren im Einzelnen:
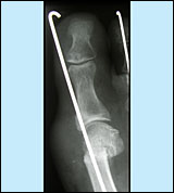
Subcapitale Verschiebeosteotomie nach Kramer/Bösch
- Korrektur der Lage des Mittelfußköpfchens
mit Durchtrennung des Knochens und einfache Stabilisierung
mit einem kräftigen Draht. Dieser wird nach ca. 4 Wochen
ohne weiteren Eingriff von außen entfernt.
- Vorteil: kleiner Hautschnitt, geringe
Schwellung, keine weitere Operation, sichere Stabilisierung
- Bei milden Fehlstellungen und frühen
Stadien des Ballenzehs
|

|
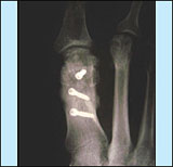
Subcapitale Verschiebeosteotomie nach Chevron

|
- V-förmige Korrektur und Verschiebung
des Mittelfußköpfchens, Stabilisierung mit Draht
oder Knochenschrauben (auch aus bioresorbierbarem Material)
- Vorteil: Dreidimensionale Korrektur,
Mittelfußköpfchen kann auch in seiner Höhe
korrigiert werden
- Bei guter Knochenqualität für
leichte bis mittlere Fehlstellungen
|
Osteotomie nach Scarf
- Langstreckige Knochenspaltung in Z-Form
und Verschiebung des Mittelfußköpfchens, Stabilisierung
mit Knochenschrauben (auch aus bioresorbierbarem Material)
- Vorteil: Dreidimensionale Korrektur
- Nachteil: großer Weichteileingriff,
lange Knochenstrecke
|
 |
Basisosteotomien
 |
- Korrektur an der Basis des Mittelfußknochens,
keilförmiger Durchtrennung des Knochens und Stabilisierung
mit spezieller Platzhalterplatte
(open-wedge) oder Verkürzung und Keilentnahme
an der Innenseite.
- Vorteil: Korrektur auch größerer
Fehlstellungen,
auch als Reserveeingriff bei erneutem Auftreten
einer Fehlstellung
|
Lapidus-Arthrodese
 |
- Versteifung des Grundgelenks am Mittelfußknochen
zur Fußwurzel bei überbeweglichem Gelenk
- Stabile Korrektur auch größerer
Fehlstellungen
|
Häufig gestellte Fragen:
Wann sollte operiert werden?
- Nicht erst bei dauernden Schmerzen
- Bei chronischer Schleimbeutelentzündung
besteht eine deutlich erhöhte postoperative Infektionsgefahr
- Darum: besser früher als später
- Geringe Weichteilverletzung durch moderne,
schonende Verfahren
Warum keine OP nach Keller-Brandes oder nur Weichteiloperation?
- Kommt einer funktionelle Amputation gleich,
eine sichere Führung der Zehe ist nicht mehr möglich
- Keine Achskorrektur
- Die Biomechanik des Abrollverhaltens wird
nicht berücksichtigt
- Ohne Aufhebung des Muskelzugs bleibt der
"Flitzbogen-Effekt" erhalten
Was passiert bei der Nachbehandlung?
- Die postoperative Schmerzbehandlung wird bereits
während der Operation eingeleitet durch eine so genannte
Fußblockade
- Rasche Vollbelastung in speziellem Vorfuß-Entlastungsschuh
- Die kräftige Schwellneigung des Fußes
wird durch intensive medikamentöse und physiotherapeutische
Maßnahmen unmittelbar nach der Operation behandelt
- Regelmäßige Kontrolle des Befundes,
Fadenzug nach 14 Tagen und begleitend krankengymnastische Beübung
bis zur Vollbelastung im Normalschuh
- Die Metallentfernung bei der subcapitalen
Osteotomie nach Kramer-Bösch erfolgt nach 4 Wochen durch
einfaches, meist völlig schmerzfreies, Herausziehen des Drahtes.
Eingebrachte Schrauben können meist belassen werden, eine
Metallspange (wie bei der Operation nach Stofella) muss durch
eine neuerliche Operation entfernt werden.
Was ist Ziel der Behandlung?
- Langfristig schmerzfreie Belastung
- Sicheres Abrollverhalten des gesamten Fußes
- statische Störungen in der Gliederkette
Fuß-Knie-Hüfte-Wirbelsäule werden behoben
- Tragen modischer Schuhe ist wieder möglich
Weitere Informationen erhalten Sie bei unserer Vortragsreihe "Gesunde
Füße",
siehe dazu gesonderte Termine auf der Startseite
unter
"Aktuelles".
|