| Einleitung
Als Rotatorenmanschette bezeichnet man die funktionell
sehr wichtige Muskelgruppe der oberarmkopfzentrierenden Muskeln,
die am Schulterblatt, der sogenannten Scapula, ihren Ursprung hat
und sich in Gruppen wie eine Manschette um den Oberarmkopf legt.
Ihre Aufgabe besteht in der Drehung und Hebung des Armes.
In zunehmendem Lebensalter kommt es zu degenerativen Veränderungen,
Einrissen und Abrissen mit Schmerzen und Bewegungseinschränkung.
1. Anatomie
Die Rotatorenmanschette besteht aus:
- Musculus subscapularis
Der Musculus subscapularis entspringt von der Vorderseite des
Schulterblattes (Fossa subscapularis der Scapula) und setzt an
der Vorderseite des Oberarmkopfes (Tuberculum minus) an. Spannt
er sich an, wird der Oberarm nach innen gedreht (stärkster
Oberarm – Innendreher) und an den Körper herangezogen
(adduziert).
- Musculus supraspinatus
Der Musculus supraspinatus entspringt am oberen Anteil der Rückfläche
des Schulterblattes (Fossa supraspinata der Scapula) und zieht
unter dem Schulterdach hindurch zum seitlichen Oberarmkopf (Tuberculum
majus). Seine Funktion ist die des seitlichen Armhebers, insbesondere
in der Startphase der Bewegung, bei am Körper anliegenden
Armen. Geringer wirkt er auch bei der Außendrehung des Armes
mit.
- Musculus infraspinatus
Der Musculus infraspinatus entspringt am unteren Anteil der Rückfläche
des Schulterblattes (Fossa infraspinata der Scapula) und zieht
ebenfalls zum Tuberculum majus des Oberarmkopfes, etwas hinter
dem Musculus supraspinatus. Er ist der stärkste Außendreher
des Oberarmes.
- Muskulus teres minor
Der Musculus teres minor hat seinen Ursprung am Seitenrand des
Schulterblattes (Margo lateraris der Scapula). Auch er zieht zum
Tuberculum majus. Funktionell ist er ein schwacher Außendreher
des Oberarmes. Außerdem wirkt er beim Heranziehen des Oberarmes
an den Körper mit.
 |
Abbildung:
Schema der Rotatorenmanschette |
2. Rissursachen, -formen und -lokalisationen
Schäden an der Rotatorenmanschette ereignen
sich überwiegend bei älteren Menschen. Rissursache ist
in den meisten Fällen eine lokale Minderung der Durchblutung
in dem Sehnenareal der Supraspinatus- und Infraspinatussehne. Es
kommt zu einer Minderung der Gewebestabilität und zur langsamen
Sehnendegeneration mit Zerrüttung der Sehnen bis hin zu unterschiedlich
geformten Einrissen.
Man unterscheidet zwischen inkompletten und kompletten
Rupturen, wobei die inkompletten Risse mehr gelenkseitig gelegen
sein können und als sogenannte A-Rupturen bezeichnet werden
oder mehr bursaseitig liegen und dann als sogenannte B-Rupturen
gelten.
Ist die Ruptur komplett, kann sie eine, zwei oder drei Sehnen betreffen.
Die häufigste Rissform lokalisiert sich an der Supraspinatussehne
und findet sich in Form einer L-förmigen oder einer halbmondförmigen
Läsion.
| 
|
Abbildung:
L-förmige und halbmondförmige Läsion |
Die Bezeichnung Riss trifft für die wenigsten
dieser Defekte zu. Meist handelt es sich um eine fortschreitende
Sehnendegeneration, die irgendwann einmal durch Bagatellverletzungen
zum Abreißen der Sehne führt.
Seltener sind die wirklich unfallbedingten Abrisse,
die meist gleich 2 oder mehr Sehnen betreffen und sich meistens
bei jüngeren Patienten ereignen und ein sogenannt geeignetes
Trauma als Ursache haben. Aber auch nach einer Schulterverrenkung
in fortgeschrittenem Lebensalter finden sich sogenannte Massenrupturen
(d.h. mehrere Sehnen sind gerissen). Ihr Vorkommen ist häufiger,
als erwartet wird und sie bleiben manchmal unerkannt. So führen
sie zu einer völligen Gebrauchsunfähigkeit des Armes und
zur wiederkehrenden Instabilität.
Zur Klärung der unfallbedingten Ruptur
ist neben dem Unfallmechanismus die feingewebliche Untersuchung
sehr hilfreich. Hier kann der Pathologe meist mehr oder minder sicher
entscheiden wie hoch der Grad der Degeneration ist und inwieweit
unfallbedingte Verletzungsfolgen dem Riss zugrunde liegen.
3. Beschwerden und Verletzungsursachen
Leitsymptom ist, wie für viele Erkrankungen
der Schmerz, und hier insbesondere der quälende Nachtschmerz,
der sich über Wochen und Monate hinzieht. Im Hinblick auf diverse
Diagnosemöglichkeiten werden einige funktionelle Tests zur
Überprüfung der Bewegungsfähigkeit des Schultergelenkes
beschrieben. Für die einzelnen Teile der Rotatorenmanschette
existieren diese klinischen Tests mit unterschiedlicher Aussagekraft
(Jobe Test, Hawkins Kennedy Sign, Lift Off, Sign de Napoleon, Speed
Test, Palm up Test, etc.). Sie müssen bei klinischem Verdacht
zur genaueren Differenzierung durchgeführt werden.
Darüber hinaus gibt es weitere Untersuchungsmöglichkeiten,
die im Rahmen einer klinischen Untersuchung hinzugezogen werden
sollten, wie z.B. der subacromiale Lokalanästhesie-Test und
der Acromioclaviculargelenks-Lokalanästhesie-Test zum Ausschluss
einer begleitenden Schultereckgelenksentzündung. Dieser Test
ist auch besonders hilfreich für den Fall, dass die Schmerzen
so stark sind, dass eine selbstständige Bewegung des Armes
nicht möglich ist. Wird ein Betäubungsmittel in den Schleimbeutel
injiziert, können die Funktionstests durchgeführt werden.
Ist der Patient trotz des Beruhigungsmittels nicht in der Lage den
Arm aktiv zu bewegen, kann ein Rotatorenmanschettenriss angenommen
werden.
Von einer Pseudoparalyse des Armes spricht man,
wenn sich die Symptome nicht nur auf den Funktionsausfall beziehen,
sondern darüber hinaus einer Lähmung gleichen. Hier sind
weitere neurologische Untersuchungen notwendig, um seltene neurogene
Erkrankungen auszuschließen.
Die körperliche Untersuchung umfasst weiterhin
die Abgrenzung des einfachen Impingement-Syndroms auf dem Boden
eines Engpasses (Outletimpingement) und die Unterscheidung zur Ruptur
der Rotatorenmanschette, wobei Rotatorenmanschettenläsionen
häufig mit mechanischen Einklemmungen unter dem Schulterdach
im Sinne einer subacromialen knöchernen Stenose vergesellschaftet
sein können.
| 
|
Abbildung:
Subacromialer Sporn (hakenförmiges Acromion mit großem
Tractionsosteophyten) |
Klinisch imponiert das Engpasssyndrom mit Rotatorenmanschettendefekt
durch das Auslösen des so genannten painful arc (= schmerzhafter
Bogen). Hierzu wird der Arm passiv über die Seite angehoben.
Zwischen 60 und 120° passiert der Bogen im Falle eines Impingement-Syndromes
eine Engstelle, die dann Schmerzen verursacht. Mittels des painful
arc können somit Beschwerden, die durch die Enge unter dem
Schulterdach ausgelöst werden diagnostiziert werden. Ist die
Kraft noch erhalten, liegt meist keine begleitenden Rotatorenmanschettenläsion
vor.
Röntgen:
Die bildgebende Diagnostik umfasst neben Röntgenaufnahmen der
Schulter in 3 Ebenen, die Aufschluss über die knöcherne
Darstellung der Schulter ergeben, die Sonographie und die Durchführung
einer Kernspintomographie der Schulter, um neben der Rupturgröße
die Qualität der Muskulatur beurteilen zu können.
| 
|
Abbildung:
MRT einer Rotatorenmanschettenruptur |
4. Behandlung
4.1 Therapiemöglichkeiten und Optionen
4.1.1 Konservative Therapie der Rotatorenmanschettenläsionen
Konservative Therapiemaßnahmen können
dabei folgende Bereiche umfassen:
- Schonung, beispielsweise durch die Ruhigstellung
mittels Thoraxabduktionskissen. Nach Abnahme des Kissens erfolgt
die Mobilisierung durch krankengymnastische Maßnahmen.
- Gabe entzündungshemmender Medikamente,
wie beispielsweise Diclofenac, Indometacin oder Cox2-Hemmer (z.B.
Celebrex, Arcoxia u.a.).
- Kryotherapie (Kälteanwendungen), insbesondere
nach einem Unfall oder im Rahmen klinsch symptomatischer Episoden.
- Krankengymnastische, schmerzfreie Bewegungsübungen,
darunter auch Dehn- und Kräftigungsübungen zur Vermeidung
einer Gelenkeinsteifung und Rezentrierung der schulterumgreifenden
Muskelgruppen.
Im Unterschied zur operativen Therapie ermöglicht
die konservative Therapieform kein „Zusammenheilen“
gerissener Sehnenanteile. Dies liegt unter anderem daran, dass sich
die gerissenen Sehnenanteile zusammengezogen haben. So können
die konservativen Maßnahmen die Schulterbeweglichkeit in soweit
wieder herstellen, dass der normale „Alltagsgebrauch“
damit gewährleistet werden kann. Also sollte in jedem Falle
einer nachgewiesenen Rotatorenmanschettenläsion ein konservativer
Behandlungsversuch vor einer geplanten operativen Maßnahme
vorausgehen. Eine Ausnahme bilden hier die selteneren unfallbdingten
sogenannten „frischen Risse“, die unverzüglich
einer operativen Rekonstruktion zugeführt werden müssen.
Ist das Ergebnis nach der etwa 2 bis 3 Monate dauernden konservativen
Behandlung nicht zufriedenstellend, sollte dringend über einen
operativen Eingriff nachgedacht werden.
4.1.2 Operative Therapie der Rotatorenmanschettenläsionen
Bei frischen Sehnenrissen ist in jedem Falle
die primär operative Rekonstruktion notwendig. Bei chronischen
Sehnenrissen ist nach Versagen der konservativen Behandlung ebenfalls
die Operation angezeigt.
4.1.2.1 Die Indikation zur operativen Therapie einer
Rotatorenmanschettenruptur besteht bei
- therapieresistenten starken Schmerzen
- jüngeren symptomatischen Patienten (Alter
< 65 Jahre) in Kombination mit
beruflichen und / oder sportlichen Aktivitäten, die aufgrund
der Symptome nicht
mehr ausführbar sind
- symptomatischer Ruptur der Rotatorenmanschette
am dominanten Arm
Die Art der operativen Therapie richtet sich
nach der Rissform und Rißgröße.
Ob arthroskopisch oder offen rekonstruiert wird,
ist von der Größe des Risses und insbesondere von der
Mobilisierbarkeit des Gewebes, aber auch vom Können des jeweiligen
Chirurgen abhängig.
Im Allgemeinen gilt: Je kleiner der Riss desto
besser kann er im Rahmen einer Arthroskopie des Schultergelenkes
versorgt werden. Größere Risse können arthroskopisch
zwar auch gut versorgt werden, sind jedoch schwerer in den Griff
zu bekommen.
Eine Alternative zur Naht bildet bei älteren
Menschen das sogenannte Debridement, bei dem nur gesäubert
und die Schmerzen im Rahmen einer arthroskopischen subacromialen
Dekompression gelindert werden. Weiterhin besteht bei sehr großen
Defekten die Möglichkeit der Durchführung einer sogenannten
Tuberculoplastik, um dem Oberarmkopf das Geleiten unter dem Schulterdach
zu ermöglichen.
Anzustreben ist es, den Defekt, sofern dies spannungsfrei
geht, zu verschließen.
4.1.2.2 Offene Rotatorenmanschettennaht
Offene Nahttechniken werden schon seit mehreren
Jahrzehnten angewendet, führen jedoch zu langen Behandlungsverläufen,
auch finden sich nach Jahren erneute Defektbildungen in der Rotatorenmanschette.
Für diesen Eingriff gibt es unterschiedliche Möglichkeiten
der Verankerung:
Schraubanker, die entweder aus Titan oder aus bioresorbierbarem
(= selbst auflösendem) Material gefertigt wurden.
Alle Eingriffe erfordern eine intensive krankengymnastische, operationsbedingt
zunächst limitierte Nachbehandlung.
Transossäre Nähte, die in spezieller Naht- und Knotentechnik
vernäht werden (Mason – Ellen – Technik) sind mechanisch
stabiler, jedoch biologisch schlechter. Andere leicht modifizierte
Techniken haben sich durchgesetzt.
Die offene Rotatorenmanschettennaht bei großen
und massiven Rupturen hatte in der Vergangenheit keinen guten Ruf
– unbefriedigende Verläufe und sogar Verschlechterungen
des Vorzustandes waren keineswegs selten.
Die Nahttechniken wurden mit der Etablierung spezieller Fadensysteme
und Nahtanker und Verbesserung des Instrumentariums verfeinert.
Die Forderung nach einem kompletten Verschluss des Defektes wich
der Überlegung, nur noch Teile des Defektes spannungsfrei zu
verschließen und so eine bessere muskuläre Balancierung
der Schulter zu erreichen, dies bezeichnte man als sog. margin convergence
Technik. Es stehen dabei unterschiedliche Meinungen, ob beispielsweise
die Acromionplastik oder die Exzision des Sehnenbezirkes notwendig
sind. Die Naht der Supraspinatussehne ist, beispielsweise bei einem
Querriss der Rotatorenmanschette anders durchzuführen als bei
einem L-förmigen Riss. In diesem Fall benutzt man die transossäre
Naht, d.h. eine Naht, die durch den Knochen an jenem Ort genäht
werden soll, an dem sie ursprünglich Abriss, die Anheftungsstelle
wird vorher gut angefrischt.
| 
|
Abbildung:
Naht offen |
4.1.2.3 Bedeutung der langen Bicepssehne
Die lange Bicepssehne zieht durch den Wetterwinkel
des Rotatorenmanschettenintervalls an das Glenoid. Sie ist ein häufiger
Schmerzgenerator der Schulter und in manchen Läsionen der Rotatorenmanschette
so verstrickt, dass erst durch Durchtrennung der Sehne und ggf.
Wiederanheftung in ihrem Sulcus für den Patienten Schmerzfreiheit
erreicht werden kann.
| 
|
Abbildung:
Arthroskopische Bicpessehnentenotomie |
Arthroskopische
Rotatorenmanschettennaht
Die Technik der arthroskopischen RM-Naht hat sich in den letzten
Jahren durch die Einführung von endoskopischen Nahtinstrumenten,
Nahtzangen und Schraubankern deutlich verbessert. Während vor
einigen Jahren meist nur einreihig genäht wurde, ist heute
das Ziel die Ansatzfläche der Sehnen an ihren Anheftungsstellen
(Foot print) großflächig wiederherzustellen. Diesbezüglich
werden heute zweireihige Nähte vorgenommen. Schwierig, aber
technisch machbar ist die arthroskopische Rekonstruktion der Subscapularissehnenausrisse.
| 
|
Abbildung:
Endoskopische Subscapularissehnenaht |
Kann bei dem Patienten nur ein Teilverschluss
der Rotatorenmanschette erreicht werden, sind die Resultate hingegen
weniger konstant, zumindest ist „…eine Verschlechterung
der Schulter durch eine arthroskopische Operation nicht sehr wahrscheinlich“.
Es sollte immer der komplette Verschluss angestrebt werden.
Unseres Erachtens ist jedoch immer die Verbesserung
Ziel einer Operation. Die Indikation zur Operation sollte nur dann
gestellt werden, wenn man sich eine deutliche Verbesserung von Funktion
und Schmerzsituation erwartet und dies kann sowohl durch offene
als auch durch arthroskopische Rekonstruktion in hohem Maße
sichergestellt werden.
Beeindruckend bei den arthroskopische Techniken
ist die rasche Schmerzbefreiung und schnelle Besserung der Funktion
nach arthroskopischer RM-Naht.
| 
|
Abbildung:
Endoskopische Supraspinatussehennaht |
Daher führen wir mehr Rekonstruktionen arthroskopisch
als offen durch, achten jedoch bei jedem einzelnen Patienten auf
Machbarkeit, Sicherheit und das zu erwartende Resultat. Alleine
der Erfolg ist ausschlaggebend, nicht die verwendete Technik.
4.1.2.4 Grenzen der Rotatorenmanschettennaht, Prothese
Bei großen nicht verschließbaren
Defekten können Ersatzgewebe aus teilweise resorbierbarem,
teilweise nicht resorbierbarem Material eingenäht werden. (z.B.
Restore etc.).
Ist der RM-Schaden weit fortgeschritten, kommt es zu knöchernen
Reaktionen am Schultergelenk, es findet sich eine sogenannte Defektarthropathie.
Hier sind die Muskeln definitiv irreversibel geschädigt und
ein Rekonstruktion der RM führt zu keiner funktionellen Verbesserung.
Meist dominieren neben dem Funktionsverlust die Schmerzen. Hier
bietet die Implantation einer inversen Schulterprothese gute Behandlungsmöglichkeiten
und führt zu einer Besserung der Funktion und deutlichen Reduktion
der Schmerzen. Durch das Vertauschen von Humeruskopf und Pfanne
entlastet man den Delta Muskel und erreicht somit eine bessere Beweglichkeit.
So lässt sich ein dauerhaftes und für den Patienten akzeptables
Ergebnis erreichen.
| 
|
Abbildung:
Defektarthropathie |
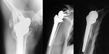
| 
|
Abbildung:
Inverse Prothese |
Gerade die Funktion der Schulter kann durch die
Implantation einer inversen Prothese dauerhaft deutlich gebessert
werden.
4.1.2.5 Nachbehandlung
Bei der offenen wie auch arthroskopischen Rotatorenmanschettennaht
ist die Nachbehandlung von großer Bedeutung.
Diese beginnt am 1. Tag nach der Operation und
ist begleitet durch eine individuelle, ausreichende Schmerztherapie.
Oberstes Ziel ist es, Schmerzen zu vermeiden und die Übungsbehandlung
dem Patienten und seinen Ansprüchen anzupassen. Hierfür
sollte zunächst ein Therapieplan erstellt werden.
In den ersten 6 Wochen sind assistiv vom Physiotherapeuten
unterstützte, geführte Bewegungsübungen aus dem Abduktionskissen
notwendig, Rotationsbewegungen müssen vermieden werden, aktive
Spannübungen sind kontraproduktiv.
Die KGG (gerätegestützte Krankengymnastik)
beginnt frühestens nach 6 Wochen. Lymphdrainage sollte nur
bis zur Abschwellung vorgenommen werden, manuelle Therapie ist sehr
früh möglich und begleitet die gesamte REHA Phase, die
sich über 3 bis 6 Monate hin erstreckt. Bei der Schulterchirurgie
stecken gut 50 Prozent des Erfolges in einer ausreichenden
und adäquaten krankengymnastischen Nachbehandlung.
Dr. W. Attmanspacher
(Schulterchirurg)
|